by Denise Grady The New York Times, posted 02 10 2019
Doctors at the Mayo Clinic examined samples of lung tissue from 17 patients, all of which looked as if the people had been exposed to toxic chemicals, the researchers said.

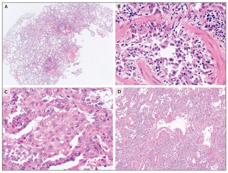
Four examples of severe vaping-related injury. In two of these cases, the patients died.CreditCreditLarsen et al., New England Journal of Medicine
The lung damage in some people who have become ill after vaping nicotine or marijuana products resembles a chemical burn, doctors from the Mayo Clinic reported on Wednesday.
Their findings are based on samples of lung tissue from 17 patients around the country whose biopsy specimens were sent to Mayo to be examined under the microscope by experts in lung pathology. Two samples came from patients who died.
UPDATE
Vaping illnesses top 1,000, says C.D.C.
“All 17 of our cases show a pattern of injury in the lung that looks like a toxic chemical exposure, a toxic chemical fume exposure, or a chemical burn injury,” said Dr. Brandon T. Larsen, a surgical pathologist at the Mayo Clinic in Scottsdale, Ariz. “To be honest, they look like the kind of change you would expect to see in an unfortunate worker in an industrial accident where a big barrel of toxic chemicals spills, and that person is exposed to toxic fumes and there is a chemical burn in the airways.”
The injuries also look like those seen in people exposed to poisons like mustard gas, a chemical weapon used in World War I, he said.
The findings were published on Wednesday in The New England Journal of Medicine and involved samples from 13 men and four women whose ages ranged from 19 to 67. About 70 percent had a history of vaping marijuana or cannabis oils. Eleven were in Arizona, five in Minnesota and one in Florida.
[Maps and charts that show the spread of lung injuries and deaths related to vaping.]
More than 800 cases of lung illness in 46 states have been linked to vaping, and 16 people have died. The majority have vaped THC, the psychoactive ingredient in marijuana, but some say they have vaped only nicotine.
Medical investigators have been unable to identify exactly what is causing the lung damage, or even how many harmful substances are involved. They do not know whether the source is the liquids being vaped, or a toxin released from the materials used to make vaping devices. It is also unclear whether some devices used in vaping may be defective.
Initial concerns have focused on the possibility that the lungs were clogged by oils being vaped, like THC oil itself, or other oils like vitamin E acetate that are sometimes used to dilute or “cut” THC for sale.
But Dr. Larsen said the Mayo researchers saw no signs of oil accumulating in the lung tissue. Instead, they saw many immune cells called macrophages with what he described as “the fine, foamy-looking appearance that is characteristic of chemical injuries.”
“So maybe we need to look more closely at the chemical compounds, and not just oils, but the chemical constituents, to figure out which ones are injurious,” Dr. Larsen said.
He said patients with lung illness from vaping had tissue damage and cell death in the lining of their airways, and in the lungs themselves. As the body reacts and tries to heal, the tissue swells and can narrow the airways. Dead cells slough off into the airways, blocking them further, and fluids leak into the lungs’ air sacs.
The swelling, tissue damage and fluid buildup can make it impossible to breathe.
“The lung is not very functional when it’s been damaged and is trying to repair itself,” Dr. Larsen said, adding that the lungs and airways have essentially been “torched.”
“There’s no reserve left while the body tries to heal itself, so people will be really sick, on a ventilator because they can’t get enough oxygen in, or carbon dioxide out,” he said. “Some patients will not recover, and will end up dying.”
He said it was too soon tell whether the survivors’ lungs would fully recover.
“Based on the severity of injury we see, at least in some of these cases, I wouldn’t be surprised if we wind up with people down the road having chronic respiratory problems from this,” Dr. Larsen said. “Some seem to recover. I don’t think we know what the long-term consequences will be.”
Two of the cases included in the Mayo Clinic report occurred before 2019, and Dr. Larsen said he suspected that the condition had existed for some time, years perhaps, but that the cases were scattered and the cause was not recognized.
For decades, doctors have asked patients whether they had a history of smoking traditional cigarettes, but until very recently, not about vaping. “As we become more attuned, I think we’ll see more and more of this, and we may see more risks than we initially realized,” he said.
The patients described in the Mayo report included a 31-year-old woman who died, despite extensive treatment with steroids and even a machine to pump oxygen directly into her bloodstream. Her lungs were so damaged that even a ventilator could not give her enough air. She had a history of vaping, but there was no information about what she vaped.
Another patient was a 21-year-old man who reported vaping nicotine for five years, and who became ill shortly after adding marijuana to it for the first time. He recovered well enough to leave the hospital.
A 28-year-old man listed in the report had, for a year, been vaping 20 to 30 cartridges a day and also vaping THC.
Last Friday, the Centers for Disease Control and Prevention identified several names of THC-related products in prefilled cartridges that they said patients had reported using before becoming ill. Dank Vapes, Moon Rocks, Off White and TKO were among those listed by health officials who interviewed patients in Wisconsin and Illinois.
But officials said they did not know if vaping illnesses or deaths in other parts of the country were related to the same THC labels identified in those two states.
Officials also said that Dank Vapes was not an actual brand, but just a label and packaging that anyone selling THC vaping liquid could buy and stick on a product.
The extensive use of prefilled THC cartridges suggests they might play an important role in the outbreak, the C.D.C. said.
According to the C.D.C. report last week, of 771 patients nationwide in the outbreak, 91 percent had been hospitalized; 69 percent were male; and a little more than 60 percent were between the ages of 18 and 34. Of the 13 known deaths at the end of last week, the C.D.C. said that nearly 60 percent were of men, and the median age was 50 years old.
Nebraska, Virginia and New Jersey reported deaths this week, bringing the total to 16. Many of the patients who died were older with underlying illnesses, although few details about them have been released.
18/12/2014
Then suddenly he went right off the rails: Mothers’ stories of adolescent cannabis use
10/04/2023
Altered brain structural and functional connectivity in cannabis users
Drugs: It’s just not worth it
Our 35-page book gives clear and easy to read facts and advice aimed at teenagers and young people.
£3.00